Image of the Week Gallery
Every week we feature an image from one of our funded research groups. They are collected here. Enjoy!
2024
- This is a CellDIVE of a lymph node through a IBEX image by HuBMAP researcher, Andrea Radtke, from the Germain Lab at NIAID News. Lymph nodes house immune cells, like B and T cells, and lymphocytes, as well as filtering out foreign particles. Cyan: Dark blue – B and T cells, Follicular dendritic cell networks, Light green – T cells, Orange – T cells, Magenta – germinal center, Yellow – plasmablasts, Green – macrophages
- This is a CODEX image of the duodenum by Joanna Bi and Dr. Bei Wei in Mike Snyder’s Lab at Stanford. blue – nuclei, pink – neuronal cells, white – epithelial cell, red – goblet cells, orange – enterocytes, green – endothelial cells, yellow – extracellular matrix, cyan – stromal cells
- This is a CODEX image of an ovary made by HuBMAP researchers, Elizabeth Tsui and Hannah McDowell from the Laronda Lab at NU Feinberg Med, with Alex Cabrera and Jean Rosario from the O’Neill Lab at Penn Medicine. Stroma and ECM = green and blue Endothelium = red, white, magenta, and cyan Macrophages = yellow
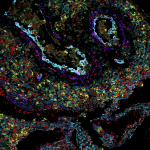
- This is a CODEX Image of Lymph Nodes by HuBMAP researcher, Archie Enninful, from Yale. Red = endothelial cells Magenta = B cells Cyan = cytotoxic T cells Blue = naïve T cells Green = monocytes Dark Green – germinal center B cells
- This is a CellDIVE skin picture of the epidermis from HuBMAP researcher, Dr. Liz McDonough, from GEResearch showing DNA damage from UV exposure. Blue = nuclei Green = DNA damage marker Magenta = cell growth Yellow = lymphatic vessel cells White = polarized epithelial cells
- This image from HuBMAP researcher, Dr. Dharma Pally, from the University of Illinois at Chicago, shows molecules in cells that make up the cytoskeleton. White = fibroblasts, Green and Purple = extracellular matrix
- This is a CODEX image of retinal retinue of proteins from HuBMAP researcher, Dr. Angela Kruse, from Spraggins Lab at Vanderbilt University. Dark blue-nuclei, yellow-smooth muscle cells, red-CD34 immune cells, magenta-Mueller glia, green-bipolar cells, light blue-cone cells, white-fibroblasts, light pink-retinal pigmented epithelium
- This is a CODEX image of the inner workings of the intestines from HuBMAP researcher, John Hickey. Blue = nuclei, Cyan = immune cells, Red = smooth muscle cells, Yellow = endothelial cells, Magenta = epithelial cells, Green = goblet cells
- This is a CellDIVE image of a healthy lung from HuBMAP researcher, Dr. Gloria Pryhuber from the University of Rochester Medical Center. Orange = epithelial cells Magenta = basal cells Teal = mast cells Red = T lymphocytes Peach = CD4 T cells Yellow = CD8 T cells Green = endothelial cells Blue = secretory cells White = smooth muscle cells
- Check out this Cell DIVE image from HuBMAP researcher, Dr. Liz McDonough, from General Electric and University of Pittsburgh, showing sebaceous & sweat glands that keep your skin from drying out! Red = epithelial cells White = plasma membrane Green = smooth muscle cells
- CODEX image and cellular neighborhood showing where different cell types reside in bone marrow, by Kai Tan at Children’s Hospital of Philadelphia. Left, CODEX Image | Right, Inferred Cell Neighborhood Map. Dark Purple = neighborhood for immature immune cells around the artery, Yellow, Blue, Cyan = neighborhoods for mature immune cells.
- This CODEX image of a lymphnode was made by HuBMAP researcher, Archie Enninful in Rong Fan’s lab at Yale . Red = endothelial cells, Magenta = B cells, Cyan = cytotoxic T cells, Blue = naïve T cells, Green = monocytes, Dark Green = germinal center B cells.
- This is a CODEX image of the isthmus, the part that connects the Fallopian tube to the uterus, that was generated by Dr. Kate O’Neill and Dr. Junhyong at University of Pennsylvania. Blue = nuclei Pink = epithelial cells Green = extracellular matrix Orange = T cells Teal = lymphatics Red = smooth muscle cells
- This is a xenium image of intestines made by HuBMAP researcher, Dr. Chenchen Zhu, from Snyder Lab at Stanford Med . Goblet Cells – Cyan Stem Like Cells – Dark Red
- This is a lightsheet microscopy image, made by HuBMAP researcher, Liam McLaughlin, at Sanjay Jain’s lab at Washington University in St. Louis (WUSTL) , of a small section of the renal pyramid that includes some of the cortex and a bit of medulla, all of which together make the kidney able to filter out soluble substances from blood to clean it. This image shows glomeruli (white spheres), collecting duct (magenta), nerves (green filaments), and blood vessels (red with yellow highlights). If you look carefully, you can see the arcuate artery and several other blood vessels climbing through the cortex to provide blood to the glomeruli, followed by nerves. (staining done by Dr. Bo Zhang)
- These are H&E staining and MxIF images from SenNet research & HuBMAP researcher, Dr. Pei-Hsun Wu, at the Wirtz lab at Johns Hopkins University . 4 images of the skin from a human scalp. The pink, purple, and white images on the left are H&E staining, the multicolored ones on the right are multiplex immunofluorescent imaging- blue – nuclei, yellow – cell division, red – epidermal cells, green – cellular aging
- This is a MADLI/MxIF image showing proteins & cells in the kidney made by HuBMAP researcher Allison Esselmen that won the “Image of the Poster Session” award at last week’s NIH-CZI Junior Investigators Meeting. Left side – MALDI-IMS of glomeruli, blue in background is the autofluorescence overlayed on top Right side – MxIF Magenta – podocytes, yellow – mesangial cells, teal – epithelial cells in proximal tubules, dark blue – vascular smooth muscle cells
- This is a CellDIVE image of a healthy lung from HuBMAP researcher, Dr. Gloria Pryhuber at University of Rochester Medical Center . Orange – epithelial cells, aqua – macrophage cells, coral – CD4+ T cells, Yellow – CD8+ T cells, green – endothelial cells, royal blue – collagen 1, pink – collagen 4, red – alveolar cells type 2, dark blue – alveolar cells type 1
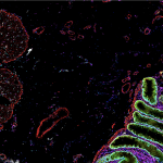
- IBEX uses antibodies so that HuBMAP researchers like Dr. Andrea Radtke at Germain lab can see cellular differences between healthy and tumor cells in lymph nodes. This is an image of follicular lymphoma lymph node showing stromal remodeling, a-SMA (orange) and SPARC (cyan), around B cell follicles (purple). a-SMA (orange) labels fibroblasts, CD20 (purple) labels B cells, SPARC (cyan) labels macrophages, stroma, matrix interactions.
- This is a DESI-MSI image of the distribution of linoleic acid, a fatty acid needed for nerve blood flow, in the left ventricle of the heart made by HuBMAP researcher, Taruna Neelakantan, at Columbia University in the Stockwell lab. Blue = lowest concentrations of linoleic acid, Yellow = areas of highest concentration of linoleic acid
- This is a CODEX image of a human optic nerve made by HuBMAP researcher, Dr. Angela Kruse, at Spraggins Lab at Vanderbilt University. Dark blue-nuclei, yellow-smooth muscle cells, red-neuroblasts and bipolar cells, purple-Mueller glia, green-fibroblasts, cyan-mesenchymal cells
- HuBMAP Researcher, Kai Tan Lab at CHOP Research, developed a CytoCommunity, an algorithm that identifies types of cells neighborhoods. To find out more, please go to this article in Nature Methods: https://www.nature.com/articles/s41592-023-02124-2?utm_source=twitter&utm_medium=social&utm_campaign=nmeth
- This is a MALDI IMS image by HuBMAP researcher, Dr. David Anderson at Vanderbilt University, of the lipids in different tissue types within the optic nerve. Green = sclera, choroid, and retinal artery and vein, blue = unmyelinated nerve fibers and neural retina, red = myelinated nerve fibers, yellow = photoreceptors
2023
- This is a returning image of the week, from last year. HuBMAP researcher, Archie Enninful, maps this lymph node with CODEX. Antibodies show where cells reside in the tissue, making 3D maps.
- HuBMAP researcher Dr. Brittney Gorman, at Pacific Northwest National Laboratory, shows where different lipids reside in the lung with this MALDI-MSI. Pink = Ceramides Green = Phosphatidylcholine (31:0) Blue = Phosphatidylethanolamine (40:7) Orange = N-Palmitoylsphingomyelin
- This is a Phenocycler Fusion image made by HuBMAP researcher Drs. Gloria Pryhuber and Jeffery Purkerson, at the University of Rochester Medical Center, to dive under the surface of the lung. Mucosa and submucosal glands of medium sized bronchial airway in lung: Orange-epithelial cells, Yellow-basal cells, Cyan-immune cells, Red-smooth muscle cells, Green-endothelial cells, Blue-club cells, White-goblet cells, Magenta-specialized secretory gland cells.
- HuBMAP researcher Dr. Albert Tsai at the Bendall Lab at Stanford University used a type of mass spec called MIBI-TOF to image a glomerulus and surrounding tubules within a human kidney which filters blood! The glomerulus is the red/yellow/green section on the right, surrounded by tubules
- This is an IBEX image of a human retina from Dr. Colin Chu at UCL Institute of Ophthalmology, the part of the eye that captures photons to send to the brain.
- This is a CODEX image of a neural node in the pancreas. Purple = neural node, teal = hormone in the gastrointestinal tract
- This is an IBEX image of a human spleen made by Dr. Andrea Radtke of the Germain lab NIAID News. The spleen filters your blood & makes immune cells to fight off infections. Yellow=plasma cells, cyan and blue = mesenchymal cells of red pulp, purple=mesenchymal cells of red and white pulp
- This is a MASCima image by Drs. Werner Muller & Andreas Bosio at Miltenyi Biotec, dressed up in protein markers. Red – B cells, Yellow – blood cells, Blue – immature B cells, Green – proliferating cells, Turquoise – epithelial cells See more similar items in the Nature Collection.
- For October, National Liver Awareness Month we have this IMS image of a pediatric liver from HuBMAP researcher Dr. Hua Tian. Blue-muscle cells Green-liver function marker; Red-neural cells; Purple-blood cells; Cyan – endothelial cells; Magenta-T helper cells; Yellow-embryonic stem cells; White-Collagen I.
- This is a CODEX image of the left atrium from HuBMAP researchers Drs. Kai Tan and Kyung Ahn at Children’s Hospital of Philadelphia. Blue = nuclei, orange = vasculature endothelial cells, magenta = smooth muscle cells, yellow = nerve fibers, green = fibroblasts, red = cardiomyocytes, aqua = macrophages, white = proliferating cells
-
This is a MALDI-MSI & autofluorescence image of the lipids inside the central portion of the left upper lobe of the lung, showing the large bronchus and smaller bronchioles by HuBMAP researcher Dr. Brittney Gorman at Pacific Northwest National Laboratory.
The lipids shown here – phosphatidylcholine 34:2 (pink) and 38:2(cyan), sphingomyelin 34:1 (green), and Ceramide-1-phosphate (dark blue) – are found in the membranes that surround each cell in much the same way that skin covers your body.
-
The placenta carries oxygen and nutrients to a developing fetus. This is an Organ Mapping Antibody Panel (OMAP) of the placenta from HuBMAP researchers Drs. Santhosh Sivajothi and Ramalakshmi Ramasamy at The Jackson Laboratory shows chorionic villi on the left and the fetal side of the placenta on the right showing the space where oxygen and nutrients cross to get to the fetus.
Red – smooth muscle cells, cyan – endothelial cells, white – proliferating cells, green – fibroblasts, magenta – epithelial cells, yellow – extravillous trophoblasts
-
This is a CODEX image of a healthy pancreas from Drs. Frida Björklund & Anna Martinez Casals at Emma Lundberg’s lab at Stanford. The pancreas regulates blood sugar levels, and secretes the hormones necessary for digestion.
Blue – nuclei; Red – muscle cell; Yellow – stroma; Cyan – ductal cell; Magenta – beta cell; Gray – delta cell; Green – alpha cell
- This is a CellDIVE image of the skin. CellDIVE uses antibodies attached to different dyes to find up to 60 biomolecules within cells, allowing researchers to deepen their understanding of the structure and organization of the molecules inside a cell. Blue – nuclei; red – epithelial cells, yellow – T cells; magenta – helper T cells; orange – endothelial cells; cyan – basal lamina collagen; green – lymphatic endothelial cells; light blue – active cell proliferation. Courtesy of Liz McDonough at GE Research.
-
This is a CODEX MxIF image of medullary rays inside the kidney made by HuBMAP researcher Dr. Elizabeth Neumann at Vanderbilt TMC.
Pink = epithelial cells, red = Vascular smooth muscle cells, orange = mast cells, yellow = endothelial cells, green = tubular epithelium, teal = proximal tubule cells, and dark blue = mesenchymal cells
-
IBEX image of a germinal center of a lymph node by Dr. Andrea Radtke at National Institute of Allergy and Infectious Diseases’ Germain lab.
Red = germinal center B cells and T follicular helper cells; cyan = myeloid cells; yellow = tingible body macrophages; blue = B, Stromal, endothelial cells.
-
This is a gut OMAP, by HuBMAP.
Blue – nuclei, Red – muscle, Yellow – endothelial cells, Cyan – T cell, Magenta – immune, Gray- ECM, Green – epithelial cells
-
This is a MALDI image of a ciliary process in a human eye from Dr. David Anderson at Vanderbilt TMC.
Red – stroma and pigmented cells, yellow – nonpigmented cells in ciliary processes, blue – stroma of cornea, teal – iris
- Dr. Angela Kruse at Vanderbilt TMC used 3D microscopy to open a window pane within the pancreas showing a neural node. The pancreas makes enzymes necessary for the pandemonium of digestion. Purple = neural node, teal = hormone in the gastrointestinal tract
- Tonsils are the immune system’s first line of defense. This is a confocal image of a tonsil by HuBMAP researcher Dr. Andrea Radtke at Germain lab. Orange = epithelium and plasma cells. Purple = follicular dendritic cells. Cyan = cells dividing in the germinal center
-
This is a 3D microscopy image of the vasculature in the retina.
Courtesy of Dr. Angela Kruse at Vanderbilt TMC.
-
This is a CODEX image of intestines. Blue = nuclei, red = muscle, yellow = endothelial cells, cyan = T cells, magenta = immune cells, gray = extracellular matrix, green = epithelial cells.
Courtesy of John Hickey at Stanford University
-
This is an image of a femur made with fluorescent dyes that get incorporated into new bone as it forms. Green = Calcein Green dye determines cell viability in eukaryotic cells. Red = Alizarin Red locates calcium deposits in tissues
Courtesy of Dr. Peter Maye at UConn/Scripps Tissue Mapping Center .
-
This is a spatial transcriptomic deconvolution of healthy & diabetic glomeruli.
Courtesy of Drs. Ricardo Melo Ferreira & Michael Eadon at WUSTL TMC.
-
This is a CODEX image of a lymph node. The different colors represent 26 cell types within!
Courtesy of Archie Enninful at Yale TTD.
-
In this image HuBMAP researcher Dr. Kevin Zemaitis at Pacific Northwest National Laboratory is using MALDI imaging & serial immunofluorescence to map different forms of proteins from the pandemonium in an islet in the pancreas with panache.
Left image – Blue to yellow scale shows the abundance of the listed proteoforms
Right image – Green = Glucagon, Red = Insulin
-
Dr. Chenchen Zhu at SnyderLab at Stanford University uses Molecular Cartography to find different types of RNA within polyps from Familial adenomatous polyposis (FAP) patients, hoping to find ways to treat & diagnosis colorectal cancer more quickly.
Blue – nuclei, green – muscle, magenta – epithelial, red – plasma, gray – endocrine cells, cyan – mast cells, yellow – enterocytes – 396
-
This is a 3D rendered light sheet Microscopy Image from human kidney cortex, generated by HuBMAP researchers Drs. Praveen Krishnamoorthy, Bo Zhang & Sanjay Jain at WUSTL.
Glomeruli – green spheres, Collecting Ducts – pink, Nerves – red
-
This is a CODEX image of intestines, courtesy of Dr. John Hickey at Stanford’s Garry Nolan Lab.
Blue – Hoechst – nuclei; Red – aSMA – muscle cell; Yellow – CD31 – endothelial cell; Cyan – Cytokeratin – epithelial cell; Magenta – CD45 – immune cell; Gray – Synaptophysin – nerve cell; Green – MUC2 – goblet cell
-
This is a GCIB-SIMS image showing the location of biomolecules within the endo-& epicardium of the heart.
Courtesy of Dr. Hua Tian of the Columbia/Penn State TTD.
Cholesterol – yellow; lysophosphatidylcholine (LPC) – green; diacylglycerol (DG) – blue; sphingomyelin (SM) – red; phosphatidylcholine (PC) – teal; fatty acid (FA) – red; adenosine monophosphate (AMP) – magenta; cardiolipin (CL) – green
-
This is the latest MIBI-TOF image series showing adjacent sections of bone marrow core from HuBMAP researcher Dr. Patricia Favaro with the Bendall Lab at Stanford Pathology.
Blue = HH3/dsDNA: nucleus, Green = Perilipin: adipose tissue, White = Collagen 1: bone tissue, Magenta = myeloperoxidase: different stages of neutrophil maturation, Yellow = von Willebrand Factor: endothelial cells and megakaryocytes, Red = CD105: endothelial cells
-
This is a CODEX image; part of the urgent work towards kidney disease done by Drs. Tarek Ashkar at Indiana University, and Sanjay Jain at WUSTL.
DAPI – white – nuclei; CD45 – red – T cells; LRP2 – purple – tubular cells; Na/K-ATPase – blue – outer plasma membrane; PODXL – green – transmembrane protein; PROM1 – yellow – stem cells; UMOD – light blue – epithelial cells of the thick ascending limb, DAPI – white – nuclei; CD45 – red – T cells; LRP2 – purple – tubular cells; Na/K-ATPase – blue – outer plasma membrane; PODXL – green – transmembrane protein; PROM1 – yellow – stem cells; UMOD – light blue – epithelial cells of the thick ascending limb
-
This is a DESI-MSI image showing the spatial distribution of fatty acids in a heart for National Heart Month from Taruna Neelakantan at Columbia.
Red = Linoleic acid (FA 18:2), an essential fatty acid for humans, Green = N-(2-hydroxyethyl)pentadec-9-enamide (NAE 15:1), a fatty acid found in the heart
-
This is an autofluorescence image of a human kidney cortex from HuBMAP researcher Dr. Anthony Fung at the University of California San Diego, showing the variations in cellular metabolism throughout.
Red shows the collagen within the extracellular matrix. Variations in colors from magenta (low) to green (high) show different levels of metabolic processes.
-
This is a MALDI imaging mass spec image of a human optic nerve from HuBMAP researcher Dr. David Anderson at Vanderbilt Spraggins Lab.
Red = myelinated nerve bundles, yellow = unmyelinated nerve bundles and inner neural retina, teal = outer neural retina, blue = sclera
-
This is a CODEX image of the small intestine, courtesy of Dr. John Hickey at Stanford’s Garry Nolan Lab.
Blue = nuclei, Red = muscle, Yellow = endothelial cells, Cyan = epithelial cells, Magenta = immune cells, Gray = nerve cells, Green = goblet cells
- This image of a human retina was taken with a Zeiss Micro Axio Observer microscope. Courtesy of Dr. Angela Kruse of Vanderbilt Tissue Mapping Center.
2022
-
This is an image of an oocyte, or egg, inside the antral follicle, or sac, that keeps it safe until it’s time to be released. Courtesy of Elizabeth Tsui, at Northwestern and the Lurie Children’s DP.
Blue = nuclei, Bright green (CD8) – cytotoxic T cells, magenta (COUPTF-II) – development marker, orange (DDX4) – germ cells, red (HMGB1) – lymphoid cells, aqua (VWF) – endothelial cells
- This MERFISH image shows the spatial localization of RNA transcripts from different cells of the human lung. Courtesy of Dr. Quan Zhu, Dr. Colin Kern, Dr. Jamie Verheyden, Dr. Xin Sun of UCSD, and Dr. Gloria Pryhuber of University of Rochester.
-
This is a DESI image of the distribution of lipids throughout a mouse heart. Courtesy of Taruna Neelakantan at Columbia.
Orange = diglycerol (DG) 41:11; Triglyceride (TG) 41:10, purple = phosphatidylethanolamine (PE) 39:5;O, green = phospatidylcholine (PC) 42:9
-
This image shows a healthy human intestine. Courtesy of John Hickey of Stanford Tissue Mapping Center.
Blue – nuclei, red – muscle, yellow – endothelial cells, cyan – epithelial cells, magenta – immune cells, gray – nerve, green – goblet
- This is a MALDI IMS view of the cells in the cornea. Courtesy of Dr. David Anderson of Vanderbilt Tissue Mapping Center.
-
Proteoforms are proteins with different molecules attached. This image is from a new mass spec method “PiMS” that shows proteoform locations in tissues. Here they mark glomeruli and blood vessels. Courtesy of Neil Kelleher at Northwestern RTI.
The image shows PAS stained images at the top, and the spatial localization of three proteoforms (GSTA2, TAGLN2, and APOA1) defining three regions in the kidney.
- This Molecular Cartography image maps gene products and nuclei using different color in healthy human colon cells. Courtesy of Dr. Chenchen Zhu of Stanford Tissue Mapping Center.
-
This is an image of healthy alveolar parenchyma cells inside the lung. Courtesy of GE Research and University of Rochester Medical Center.
Blue = nuclei, orange = type 2 pneumocytes, pink = club cells, red = vascular endothelium, white = smooth muscle, green = type 1 pneumocytes.
-
This is a CODEX image of lung and small pulmonary arterial cells surrounded by alveoli. Courtesy of Dr. Gloria Pryhuber of the University of Rochester Medical Center TMC. .
Red = epithelium, green = endothelium, blue = immune cells, white = smooth muscle cells, cyan = collagen, magenta = surfactant producing alveolar epithelial cells (type II), yellow = lymphatic endothelium.
-
This is a CellDIVE image of human blood vessels. Courtesy of Drs. Liz McDonough and Fiona Ginty of GE Research.
Blue = Nuclei, red = extracellular matrix, yellow = cardiac sodium pumps that make the cells contract, cyan = heart muscle cells.
- This is a confocal microscopy image of a healthy human colon. Courtesy of Dr. Andrea Radtke of Ron Germain’s lab at NIAID.
- This is a MALDI IMS image of a human kidney on a new matrix, which allows viewers to see the different types of cells that make up the organ. Courtesy of Dr. Martin Dufresne of Vanderbilt Tissue Mapping Center.
-
This is an immunfluorescence image of the optic nerve. Blue = nuclei, magenta = nerve cells.
Courtesy of Dr. Angela Kruse of Vanderbilt Tissue Mapping Center.
-
Here is an image of lipids in a human liver. Lipids store energy, cushion organs, and send signals to nerves.
This DESI image captures the distribution of lipids throughout a section of human liver at 40µm spatial resolution.
Courtesy of Dr. Presha Rajbhandari of the Columbia/Penn State TTD.
-
This is an MxIF image of the cornea, iris, and ciliary processes that make aqueous humor which supports the lens. The cornea is at the bottom of the image. Courtesy of Dr. Angela Kruse of Vanderbilt Tissue Mapping Center.
Blue = nuclei, yellow = smooth muscle actin, red = laminin
-
This is an IBEX image of B cells, which bind to foreign particles to defend against infection.
Courtesy of Andrea Radke at NIH.
-
This is a combined immunohistochemistry and RNA fluorescence in situ image of mouse lung, created by first imaging the proteins, then digesting those proteins and viewing the RNA. Courtesy of Peter Chou of Stanford Tissue Mapping Center.
Immunohistochemistry: blue – nuclei, pink- Type 2 pneumocytes, yellow – endothelial cells, green – leukocytes. RNA fluorescence in situ: blue – nuclei, red – fibroblasts, yellow – Type 1 Pneumocytes, green – Macrophage + Type 2 Pneumocytes, light blue – low = Type 2 Pneumocytes, high = Dendritic cells, purple – vascular endothelial cells
- These are autofluorescent composite images of kidneys from patients. Courtesy of Dr. Elizabeth Neumann of Vanderbilt Tissue Mapping Center.
- This is a MALDI image of human pancreas, highlighting the location of insulin and two different proteoforms of histone H4. Courtesy of Kevin Zemaitis from PNNL Tissue Mapping Center.
- This is an Immuno-SABER image of kidney tissue, showing the location of 14 proteins throughout the organ. Courtesy of Matt Serrata of the Harvard TTD.
- This is an image of the pancreas, which makes digestive enzymes. Created using iDISCO, the image shows islet and ductal cells with confocal imaging. Courtesy of Martha Campbell-Thompson of the University of Florida TMC.
- This is an imaging mass spec of biomolecules throughout the kidney. Courtesy of Dr. Elizabeth Neumann of Vanderbilt Tissue Mapping Center.
-
This is a CODEX image of the intestine. Courtesy of Dr. John Hickey of Stanford Tissue Mapping Center.
Blue = nuclei, Green = T cells, Magenta = plasma cells, Red = smooth muscle cells, Yellow = endothelial cells, Gray = epithelial cells.
-
Here is an IMC image of cells in the placenta. Placental trophoblasts provide nutrients to an embryo, and provide nutrients. Courtesy of Dr. Santhosh Sivajothi of the Jackson Lab.
Blue=nuclei, cyan = placental trophoblasts, green = extracellular collagen and fibroblasts, orange = endothelial cells, magenta = macrophages
- This is a CODEX image of the left atrium of the heart, the upper heart chamber that receives blood from the lung. Courtesy of Dr. Kai Tan of Children’s Hospital of Philadelphia Tissue Mapping Center.
-
This is a seqFISH image of a human heart.
Courtesy of the CalTech/University of Washington Tissue Mapping Center.
-
Pictured here is a microscopy image of the retina, which turns what you see into neural impulses in the brain. Courtesy of Angela Kruse of the Vanderbilt Tissue Mapping Center.
Blue = nuclei, yellow = rods, green = retinal pigmented epithelium.
- This is a MALDI image of 4 metabolites within the human optic nerve. Courtesy of Dr. Dave Anderson of the Vanderbilt Tissue Mapping Center.
-
This is a cell dive image of skin.
Courtesy of Drs. Fiona Ginty, Soumya Ghose & Liz McDonough from the General Electric Rapid Technology Implementation group., and Yingnan Ju at Indiana University.
2021 - 2020
-
This is a CODEX of the intestine. Courtesy of Dr. John Hickey of Stanford Tissue Mapping Center.
Blue = nuclei, red = smooth muscle cells, green = Goblet cells, white = nerve cells, cyan = proliferating cells, magenta = immune cells, yellow = epithelial cells
-
This is a CODEX image of the left ventricle of a human heart. Courtesy of Dr. Kai Tan of Children’s Hospital of Philadelphia Tissue Mapping Center.
Blue = nuclei, red = myocardium collagen fibril, cyan = cardiomyocyte, yellow = CD34+ cell, green = vascular smooth muscle cell, white = monocyte/macrophage, magenta = CD8 T cell.
-
This image is from a mouse thymus acquired using the IBEX method. Courtesy of Dr. Andrea Radtke of the Germain laboratory of NIAID, NIH.
Cortical thymic epithelial cells are labeled with pan-cytokeratin (cyan) and DEC205 (blue) antibodies. Cortical macrophages are detected with an anti-CD206 (magenta) antibody.
- This image shows the chorionic villi & villous tree in a placenta – blood vessels that will eventually join the umbilical cord. Courtesy of Santhosh Sivajothi of the Jackson Lab.
-
This is a CODEX image of bone marrow. Courtesy of Dr. Kai Tan of Children’s Hospital of Philadelphia Tissue Mapping Center.
Blue = nuclei, red = pericytes, magenta = smooth muscle cells, white = monocytes, green = CD8 T cells, cyan = osteoblasts, yellow = megakaryocytes.
- This is a confocal microscopy image of the human lens. Courtesy of Dr. Angela Kruse at Vanderbilt Tissue Mapping Center.
- This is a Cell Dive image of a healthy human lung. Presented by Dr. Gloria Pryhuber, Dr. Fiona Ginty, Lisa Lowery, and Christine Surrette, of UC San Diego Tissue Mapping Center and General Electric Rapid Technology Implementation.
- This is a MERFISH image showing where specific RNAs are in human articular cartilage in the knee. Courtesy of David Rowe at UConn Tissue Mapping Center .
- This is an immunofluorescence image of a human retina. Courtesy of Dr. Angela Kruse at Vanderbilt Tissue Mapping Center.
- This is a MIBI-TOF of a decidua, which lines the uterus during pregnancy. The MIBI-TOF, or Multiplexed Ion Beam Imaging by Time of Flight, is a new technology that enables high-dimensional single-cell imaging in situ of clinical human specimens. Courtesy of researchers at the Mike Angelo lab at Stanford Tissue Mapping Center.
- This is a confocal microscopy image of the human heart. Courtesy of Dr. Andrea Radtke from the Germain lab at NIAID.
- This is a CODEX MxIF of medullary rays, bundles of tubes in the kidney. Courtesy of Dr. Elizabeth Neumann of Vanderbilt Tissue Mapping Center.
- This is an RNAscope image of target RNAs in the portal triad of the liver, where three vessels meet to carry blood and nutrients to the liver. Courtesy of researchers Aubrianna Decker and Brent Stockwell of the Columbia/Penn State TTD.
- This is an IBEX image of a healthy human spleen, which filters your blood, and produces immune cells to fight infections. Courtesy of by Dr. Andrea Radtke of the Germain lab at NIH.
-
This is an IBEX image of the germinal center of your lymph nodes (where plasma and memory B cells grow). Courtesy of Dr. Andrea Radtke of the Laboratory of Dr. Ronald Germain.
Red = germinal center B cells, T follicular helper cells, cyan = myeloid cells, blue = endothelial cells.
-
This is an IBEX image of lymph nodes, immune cells, and the extracellular matrix inside them.
Courtesy of Drs. Andrea Radtke and Ron Germain of NIH.
- This is an IMC image of a healthy human thymus, the organ that makes T cells which protect from infection. Courtesy of Michelle Daniel of the Bodenmiller Lab and the University of Florida TMC.
-
Light sheet microscopy image of a healthy human pancreas. Courtesy of Katelyn Carty of the University of Florida TMC.
Blue: single alpha cells producing glucagon, Red: vascular smooth muscle cells, Green: basement membrane network of the vascular tree
-
This is a CODEX of healthy colon tissue. Courtesy of John Hickey of Stanford Tissue Mapping Center.
Cyan = immune cells, red = smooth muscle cells, white = T cells, magenta = epithelial cells, yellow = endothelial cells, green = stromal cells, blue = nuclei.
-
This is an image from the new assay sci-Space that captures spatial origin and transcriptomic data from thousands of single cells. Courtesy of University of Washington Department of Genome Sciences.
Here you can see nuclei (blue), myosin heavy chain 6 (red), sarcomeric actin (green), and E-cadherin (pink) in a developing mouse embryo (stage E14).
- This is a CODEX MxIF of human kidney medulla, the part of the body that creates urine and filters blood. Courtesy of Elizabeth Neumann of Vanderbilt Tissue Mapping Center.
-
This image shows the locations of proteins involved in gene regulation (H2 & H4 histones) in a rat brain using mass spectrometry imaging.
Courtesy of Drs. Dusan Velickovic and Kevin Zemaitis from PNNL Tissue Mapping Center.
- HuBMAP researchers Dr. Fiona Ginty, Chrystal Chadwick, and Liz McDonough from GE Research, working with Drs. Jonhan Ho & Louis Falo present 2 images – H&E, and cell dive – of the epidermis. Courtesy of the General Electric Rapid Technology Implementation group.
- This image shows the digestive system cells, in a CODEX of healthy colon. Courtesy of John Hickey of Stanford Tissue Mapping Center.
-
This image compares proteins in human spleen to NASA images of nebula. Courtesy of Seth Currlin at University of Florida TMC.
NASA pictures (2,3,4), HuBMAP pictures (1, 5, 6), wherein cyan = endothelia, yellow = cholinergic axons, and red = axons.
- This autofluorescence image shows the cortex, medulla, glomeruli, and proximal tubules of the human kidney without any stains. Courtesy of Elizabeth Neumann of the Vanderbilt Tissue Mapping Center.
- This is a seqFISH image that shows RNA transcripts in a section of healthy human small intestine. Courtesy of the Cal Tech/University of Washington Tissue Mapping Center
-
This is a CODEX generated image from a healthy colon. Courtesy of John Hickey from the Stanford Tissue Mapping Center.
The blue shows the nuclei of cells, the green are goblet cells, gray are nerve cells, red are smooth muscle cells, yellow are epithelial cells, magenta are immune cells, and cyan are proliferating cells.
-
This image is a CODEX MIF of a human kidney cortex that highlights 7 different types of cells.
Courtesy of Elizabeth Neumann of Vanderbilt Tissue Mapping Center.
-
This is an autofluorescence image of cells that make up the heart/cardiac muscle.
Courtesy of Seth Currlin of the University of Florida Tissue Mapping Center
-
This image is of the lining of the uterus preparing for pregnancy. MIBI-TOF was used to generate this image of fetal cells within and around maternal spiral arteries. Courtesy of Michael Angelo’s lab at the Stanford Rapid Technology Implementation group.
Yellow = fetal cells; purple = muscle cells; red = nuclei; turquoise = embryonic endothelial cells
- This image is negative ion mode lipid MALDI imaging mass spectrometry of human optic nerve tissue collected at 10µm spatial resolution using a MALDI TOF MS. Courtesy of Dave Anderson with Jeff Spraggins and Kevin Schey at the Vanderbilt Eye/Pancreas Tissue Mapping Center.
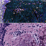
- The top image uses Cell DIVE, and maps proteins in order to see the damage done by the sun to the epidermis, surrounded by immune cells and blood vessels. The image on the bottom is a different imaging technique (H&E) of the same region. Courtesy of Liz McDonough at the GE Research Rapid Technology Implementation Group.
- This image uses CODEX imaging to map 7 proteins in a healthy human small intestine. Courtesy of John Hickey at Snyder Lab, part of the Stanford Tissue Mapping Center.
- This image is a CODEX multiplexed immunofluorescence of a human kidney, labeled to show the key functional units of the kidney, such as glomeruli, proximal tubules, and distal tubules. Courtesy of Elizabeth Neumann of the Caprioli Lab at Vanderbilt Tissue Mapping Center.
-
This image uses Cell DIVE imaging to map 9 markers. Courtesy of Liz McDonough from the GE Research Rapid Technology Implementation Group.
DAPI: blue, Cytokeratin_AE1: red, CD3: cyan, Collagen IV: yellow, DDB2: lime, Fibronectin: light blue, Ki67: magenta, Cadherin_pan: lavender, Smooth Muscle Actin: green, Vimentin: purple in a hair follicle.
- This still from a lightsheet microscopy video pictures a thymus from a one-year old human male. Courtesy of Seth Currlin at the University of Florida Tissue Mapping Center.
- This image shows Ion images of three lipids with distinct localizations in a 20-year-old, male human kidney. MALDI imaging mass spectrometry was used to visualize several hundreds of lipids within this sample with differing localizations within the medulla, cortex, and glomeruli for multiplexed chemical analysis. Courtesy of Elizabeth Neumann of the Vanderbilt Kidney Tissue Mapping Center.
- This image uses CODEX imaging to map 7 proteins in a section of colon tissue. Courtesy of John Hickey of the Stanford Tissue Mapping Center.
- Here are RNA transcripts in a section of human small intestine. Courtesy of the CalTech/University of Washington Tissue Mapping Center.
- This is a lightsheet microscopy image of a human splenic blood vessel (cyan) surrounded by the tyrosine hydroxylase matrix (red) from the axons that innervate the blood vessel. Courtesy of Seth Currlin at the University of Florida Tissue Mapping Center.
- This is a CODEX MIF image of the cortex from a human kidney using 19 antibodies. Courtesy of Elizabeth Neumann of the Vanderbilt Kidney Tissue Mapping Center.
- An autofluorescence image of human cardiomyocytes. Courtesy of Seth Currlin at the University of Florida Tissue Mapping Center.




































































































































